🦷 Стоматологический бур провалился в бронхи мужчины во время лечения зубов в Подмосковье. Он сразу почувствовал боль в груди и обратился в больницу....

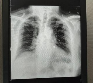
🦷 Стоматологический бур провалился в бронхи мужчины во время лечения зубов в Подмосковье.

Он сразу почувствовал боль в груди и обратился в больницу. Врачи с помощью эндоскопа извлекли инструмент, сейчас с пациентом всё в порядке.

Комментарии
Присоединяйтесь к обсуждению и поделитесь своим мнением
Читать комментарии

Добавить комментарий

Закрытый Telegram-канал Москвы

То, о чем не пишут в СМИ
Подписывайтесь на наш закрытый ресурс, где мы публикуем только главные и самые резонансные события без лишнего шума.
Телеграф 18+