🦷 Стоматологический бур провалился в бронхи пациента во время лечения зубов в частной подмосковной клинике. Во время приёма инструмент оказался в...

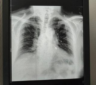
🦷 Стоматологический бур провалился в бронхи пациента во время лечения зубов в частной подмосковной клинике.

Во время приёма инструмент оказался в дыхательных путях мужчины. Он сразу почувствовал боль и отправился в больницу. Рентген показал, что бур находится в левом бронхе. Медики приняли решение экстренно прооперировать пациента, так как любое промедление могло привести к тяжёлым осложнениям, вплоть до летального исхода.

Врачам Мытищинской больницы предстояло выполнить ювелирную работу — при извлечении острая часть бура могла повредить стенки бронха и спровоцировать кровотечение. Поэтому действовать приходилось предельно точно. С помощью эндоскопа стоматологический инструмент зафиксировали и плавно извлекли, не травмировав ткани.

Комментарии
Присоединяйтесь к обсуждению и поделитесь своим мнением
Читать комментарии

Добавить комментарий

Закрытый Telegram-канал Москвы

То, о чем не пишут в СМИ
Подписывайтесь на наш закрытый ресурс, где мы публикуем только главные и самые резонансные события без лишнего шума.
Телеграф 18+