😨 В Подмосковье мужчина случайно проглотил стоматологический бур во время зубного лечения в частной клинике Он незамедлительно обратился в районную...

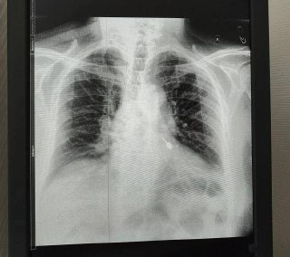
😨 В Подмосковье мужчина случайно проглотил стоматологический бур во время зубного лечения в частной клинике

Он незамедлительно обратился в районную больницу, где медики успешно извлекли инструмент из его левого бронха.

Сейчас с мужчиной все в порядке, его выписали, и он чувствует себя хорошо.

Подписаться ✍️
Также наш канал есть в MAX ⚡️
Прислать новость: @Svyaz20101991_bot

Комментарии
Присоединяйтесь к обсуждению и поделитесь своим мнением
Читать комментарии

Добавить комментарий

Закрытый Telegram-канал Москвы

То, о чем не пишут в СМИ
Подписывайтесь на наш закрытый ресурс, где мы публикуем только главные и самые резонансные события без лишнего шума.
Телеграф 18+